TMJ and bite problems may cause discomfort, headaches, and affect your oral health. The Kois deprogrammer in Victoria is an effective way to diagnose and treat these challenges. The dental instrument enables both patients and dentists to analyze jaws and correct jaw relationships without the risks of traditional methods.
The Kois deprogrammer is a specific type of dental appliance to relax the muscles of the jaw and isolate the bite. By using the Kois deprogrammer, patients can help dentists to better assess TMJ bite problems and develop therapeutic approaches related to TMJ bite issues. If you are experiencing pain in your jawbone or discomfort in your bite, a dentist in Victoria can help you through the process.
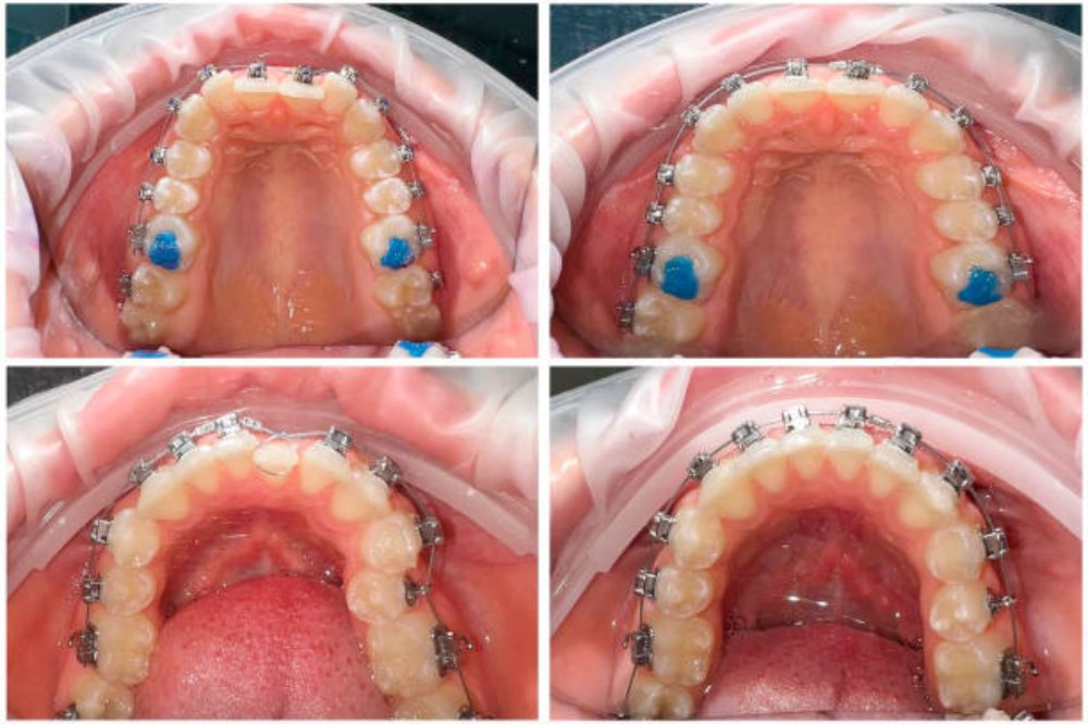
What is a Kois Deprogrammer?
A Kois deprogrammer is a removable dental appliance that rests on your teeth, typically on either the front or back of your teeth, depending on the case you need to evaluate. The purpose of a Kois appliance is to:
- Relax muscles that create motion in the jaw
- Reduce habitual bite patterns
- Allow the dentist to see the natural position of your jaw
Through an actively operating dental deprogrammer, the major benefit is that you change the way teeth come together, thus providing much more observable bite conditions to the dentist.
1. Improved Accuracy of TMJ Diagnosis
The major benefit of a Kois Deprogrammer is improved accuracy of diagnosis. As previously cited, relaxed jaw muscles give the dentist an opportunity to visit and diagnose the source of the patient’s problem for TMJ bite issues. This is important because often bite and jaw problems occur in subtle misalignments that would not normally be detected without a deprogrammer.
2. Muscle Relaxation
Tightness and clenching in the jaw can exacerbate bite problems and lead to chronic pain. A Kois deprogrammer will have the effect of allowing those muscles to work themselves into a state of relaxation, relieving some stress and muscle fatigue. This relaxation will also assist in more accurately measuring and documenting your bite during the assessment for dental care.
3. Personalized Treatment Planning
Once a Kois deprogrammer is in place, your dentist is now able to create a treatment plan that is customized unequivocally to your bite. Whether there is an indication for orthodontic work, restorative treatment, or TMJ therapy, the appliance ensures that every choice regarding treatment is made based on a thorough assessment of your jaw function.
4. Preventing Further Damage
Misalignments of the bite and TMJ disorder can cause over-wear of teeth and dental restorations. By utilizing a Kois deprogrammer, dentists are identifying and correcting those issues early to prevent more long-term damage to oral health.
5. Comfort – Non-Invasive
Compared to surgical approaches to jaw problems, a Kois deprogrammer is generally very comfortable for patients and is always a non-invasive option. Most patients report that they adjust to wearing a Kois deprogrammer quickly, or can wear the appliance in the dental office for a short length of time to assist in collecting the important diagnostic information. The Kois deprogrammer is user-friendly and is a sensible initial option for assessment of bite and TMJ issues.
Kois Deprogrammer Benefits
The device has other benefits in addition to the 5 mentioned above, including:
- Aiding in the evaluation of clenching or grinding at night, as an example
- Assisting in restorative work while keeping the jaw in a stable position
- Lessening headaches and facial discomfort related to TMJ dysfunction or disorder
Having a device that gives a comprehensive perspective of the function of your bite and jaw improves both diagnosis and treatment radically.
Optimize Your Bite with Expert Care
Bite and TMJ dysfunction can be addressed earlier to prevent discomfort, pain, or long-term oral health problems. Working with a specialized clinical device, such as a Kois deprogrammer, assures accurate treatment planning and diagnostics are developed to help you achieve optimal oral health.
At Oak Bay Dental Clinic, our team provides expert evaluation, clinical guidance, and treatment necessary to help optimize jaw function. Schedule your consultation with us today to assess how we can help with your bite in regard to your oral health.





